顎変形症に関する研究
顎変形症に関連して、当教室では、臨床的研究および基礎的研究を行っている。
<臨床的研究>
- 顎矯正手術後の安定性
- 顎口腔機能の評価
<基礎的研究>
- 不正咬合自然発症マウス用いた交叉咬合発症機序の解明
- 骨格性下顎前突症のゲノムワイド関連解析
臨床的研究
1.外科的矯正治療後の安定性
北海道大学病院歯科診療センターでは顎変形症症例に対し、口腔外科・補綴科・矯正科の3科によるチームアプローチを行い、安定した咬合 Desirable Occlusion(D.O.) を得ることを目標として治療を行っている。これまでに顎矯正手術後の安定性に関連する要因について検討し、様々な対策を立てることにより、安定した治療結果を得ている。
現在まで
①顎矯正手術時の下顎骨の矢状面内での回転
②顎間固定除去後の臼歯部におけるセントリックストップの確保
③上下顎歯列弓幅径の調和
などについて検討した。
2.顎口腔機能の評価
外科的矯正治療の適応となる骨格性反対咬合者では、顎顔面部の形態的不調和を主訴とするばかりではなく、咀嚼や発音などの口腔機能の異常を訴える場合が多い。
不正咬合に起因する発音障害は、摩擦音や破裂音などの子音に発音障害が強く現れると言われている。当教室では,日本語の中では最も障害を受け易い無声摩擦音であるサ行(/s/)について音声分析および聴覚実験を行い、骨格性反対咬合者の発声音の音響的特徴および聴覚印象、発音障害の原因について明らかにしてきた。
現在は、日本語5母音の音響的特徴からその調音点(調音によって口腔内に形成されるせばめの部分)の位置を推定している。得られた結果から骨格性反対咬合者と健常者における各母音の調音点の位置の違いや顎矯正手術による影響の評価を行っている。
基礎的研究
1.不正咬合自然発症マウス用いた交叉咬合発症機序の解明
歯科矯正学において、不正咬合の病態を正確に把握することは矯正治療の根幹にかかわる研究テーマとして存在する。しかし、自然に存在する不正咬合状態をこれまでの実験動物中に得ることは極めて難しく、研究展開の大きな制約になっていた。こうしたことから、先天的に不正咬合状態を呈する実験動物が求められているが、先天的に短肢症を生じるC57BL-bm/bmマウスからのbm(brachymorphism)遺伝子をBALB/c系マウスに自然交配したBALB/c-bm/bmマウスのうち、約10%は前歯部左右的交叉咬合を自然発症することが明らかとなったことから、BALB/c-bm/bmマウスを不正咬合モデル動物として確立する目的で、不正咬合発症機序を解明すべく顎顔面部の形態学的、組織学的検討を行っている。

図1: BALB/c-bm/bm切歯における水平的交叉咬合

図2:BALB/c-bm/bm正常咬合(左)と不正咬合(右)の頭蓋顎顔面部3DCT画像


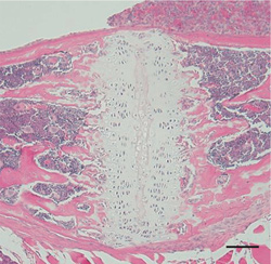
図3: 蝶後頭軟骨結合部 マウス頭蓋矢状断像
左:BALB/c系マウス、 右:BALB/c-bm/bm, 軟骨の形成に明らかな違いが認められる。


図4: 鼻中隔軟骨 マウス頭蓋前頭断像
左:BALB/c系マウス、 右:BALB/c-bm/bm
2.骨格性下顎前突症のゲノムワイド関連解析
骨格性下顎前突症は下顎の前下方への成長が過大であるため、側貌における下顎の著しい突出感と反対咬合による咀嚼障害を呈する疾患である。また、その治療には顎矯正手術が必要となることが多い。発症には遺伝要因と環境要因が関係していることが考えられているが、いまだ明確ではなく、原因遺伝子が明らかになれば矯正治療の治療方針を決定する上で重要な情報になると考えられる。多因子疾患に対する原因遺伝子の解析法として連鎖解析と関連解析があるが、本疾患に対してこれまでいくつかの連鎖解析が行われており、第一染色体との関連が示唆されている。しかし、本疾患に対するゲノムワイド関連解析の報告はこれまでにない。本講座では東海大学医学部分子生命科学講座と連携してマイクロサテライトを用いたゲノムワイド関連解析(GWAS)を行い、原因遺伝子の同定を目指し研究を進めている。

図5: 全ゲノムに配置されているマーカーから pooled DNA 法により候補領域を絞り込む(スクリーニング)

表 1: スクリーニングにより選択された5つのマーカー

表 2: 5つのマーカーに対して行われたタイピングの結果
現在のところ、第一染色体において下顎前突症との関連が示唆される領域が2つ確認されている。

(Multi peaks, Applied Biosystems)

95 well × 247 plate = 23465 マーカー
